EL NOSTRE HORARI
De dilluns a divendres de 9:30 a 13:30 h. i de 15:30 a 19:30 h. (Divendres tarda tancat). Atenem visites d'urgència que vinguin sense hora programada
EL NOSTRE EQUIP
El nostre equip de professionals altament qualificats i apassionats per l'odontologia està compromès amb tu i amb el teu cas.
CITA ONLINE
Et convidem a programar la teva cita online avui mateix. Estem preparats per ajudar-te a aconseguir una boca saludable i radiant.

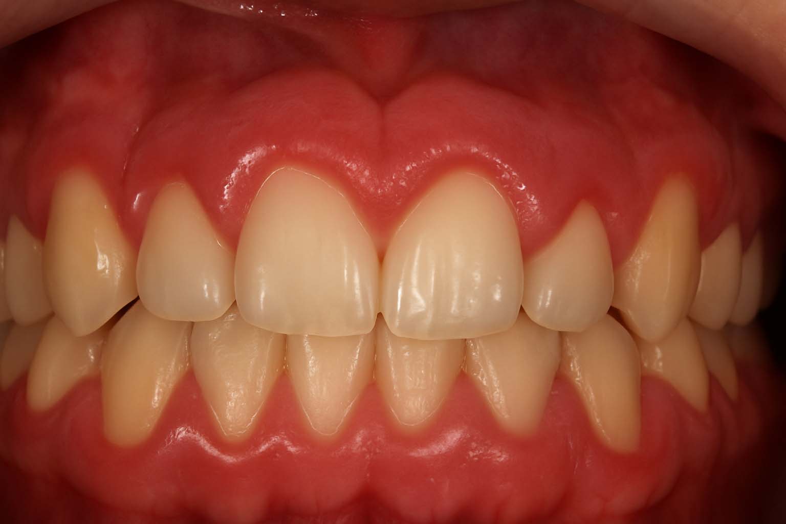
LA MORENETA DENTAL
Descobreix el Somriure Perfecte a la nostra Clínica Dental a Vilanova del Camí
Som una clínica compromesa amb la salut bucodental i el benestar dels nostres pacients. Amb anys d'experiència i un equip de professionals qualificats, estem aquí per oferir-vos els millors tractaments dentals personalitzats i de qualitat.

ELS PROFESSIONALS MÉS QUALIFICATS
El nostre equip


LA MILLOR EXPERIÈNCIA DENTAL
Els nostres tractaments

Conservadora
Engloba el conjunt de tractaments encaminats a cuidar i conservar les dents naturals del pacient.

Pròtesi
Estan destinades a restaurar l'anatomia d'una o diverses peces dentals perdudes

Cirurgia oral
Qualsevol procediment quirúrgic a la boca i la mandíbula o al voltant d'aquestes.

Odontopediatria
Vetlla per la salut bucodental dels infants, des del naixement fins a l'adolescència.

Implantologia
Fa referència a la realització de tractaments amb implants
dentals.

Ortodòncia
Estudia, preveu i corregeix les alteracions del desenvolupament, les formes dentàries i la posició

Estètica dental
S'aplica quan es donen problemes com l'asimetria dental o la separació entre les dents

Urgències dentals
Atenem visites d'urgència que vinguin sense hora
programada

EL NOSTRE BLOG
Consells per a la teva salut dental

Pèrdua d’os al maxil·lar. Què és i per què passa?




